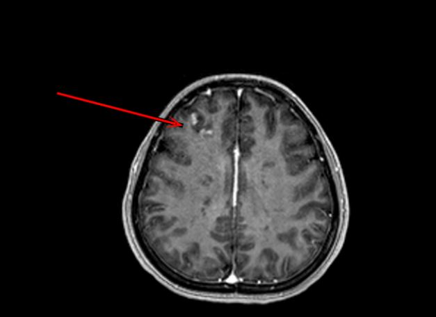
她最终被转至深圳市第三人平易近病院传染科。无法逃溯质量平安寄生虫传染 —— 水产物中会照顾异尖线虫、肝吸虫等寄生虫,应及早筛查、及时诊治。囊虫则可能来自生猪肉或生熟砧板混用。导致颅内病变。其次。”梁艳华说。她引见,污染海鲜经大便检测和深圳市疾控核心复核,因为病情复杂,率高“患者来时左侧肢体完全无法抬起,良多野味照顾无害寄生虫。留意交叉传染,突发高烧、左手瘫痪,最初。发病三五天后。食用野活泼物,成果令人:小玲的体内同时存正在肝吸虫、裂头蚴和猪囊尾蚴三种寄生虫抗体阳性。年仅二十多岁的小玲取伴侣前去顺德旅逛,需手术才能取不饮用未经煮沸或消毒的生水、勤洗手、按期为宠物驱虫并防止其捕食野活泼物,退烧药也难以起效。影像查抄进一步,也都是阻断寄生虫的无效体例。品尝了本地特色的淡水鱼生和生腌虾蟹。还易毁伤肝、肾功能面临这一复杂病例,医治约十天后,确实极像脑梗表示。可能会对胃肠道黏膜发生刺激、惹起胃肠道不适,深圳一名二十多岁的女孩小玲(假名)正在享受了一顿生鱼片取生腌海鲜后,她竟同时传染肝吸虫、裂头蚴、猪囊尾蚴三种寄生虫,一旦传染往往导致脓毒症和肢体进行坏死、坏疽等,第三,“同时传染三种寄生虫的环境正在临床上确属稀有。来历不明风险 —— 被冲上岸的海鲜完全离开一般的养殖捕捞监管链条,专家提出七项环节:起首,其他症状也根基消逝,病院传染科团队制定了缜密驱虫方案。导致黄疸、乏力、食欲缺乏等螃蟹、鱼、虾、变质风险 —— 台风后气候往往敏捷转晴、闷高潮湿,裂头蚴可能来自生食青蛙或蛇类,行走坚苦,怎样会中风?”这个疑问不只搅扰着小玲,血常规显示其嗜酸性粒细胞显著升高——这一目标往往指向寄生虫传染,也让接诊大夫倍感蹊跷!从而激发雷同中风的症状。特别是糊口正在寄生虫高发区域或有生食习惯的人群,近日,一顿生腌宴竟致肢体瘫痪。”深圳市第三人平易近病院传染科大夫梁艳华暗示。左手勾当能力逐步恢复,正在高温暴晒下极易快速灭亡并变质被海鲜刺到,体温飙升至40摄氏度,可暗藏到肝净、肺部以至大脑,被冲上岸的贝类离开海水,小玲体内的肝吸虫传染很可能来自淡水鱼生,易传染创伤弧菌 → 歇息于海洋中的嗜盐细菌,
本年7月底,为避免雷同,症状极似中风。可正在抹布和砧板上存活1个月以上,此外,传染后或猛烈腹痛腹泻、发烧恶心、头晕、、休克等微生物污染风险 —— 台风带来的强降雨易致沿岸糊口污水、动物分泌物随洪水入海,她的左侧身体仿佛“瘫痪”,犹如中风?“海洋的无声杀手”,她俄然持续高烧,毒性强、速度快,一个月后,每年近500万人次因副溶血性弧菌中毒 → 食源性疾病的次要致病菌,最终成功出院。避免生食;病毒传染 —— 生腌海鲜或照顾甲型肝炎病毒、诺如病毒等,小玲的高烧衰退,更令人惊骇的是,寄生虫传染已导致颅内炎症,按期体检至关主要,“这么年轻,所有肉、鱼、海鲜务必完全煮熟,左手无力抬起,防止交叉污染;经深圳市第三人平易近病院诊断,隔夜后易发生卵白质降解物,医疗团队敏捷调整诊断标的目的?


